Áñ°Üã±âÃß°¡2026.03.02 ±â»óûGO

´ë¹®¾î ¾ç½Ä ù°ÉÀ½¡¦ ÀΰøÁ¾ÀÚ 1³â »çÀ° ¼º°ø
ÀΰøÁ¾ÀÚ »óÅ¿¡¼ ºÎÈ ÈÄ 370ÀÏÀÌ Áö³ ´ë¹®¾î. ±¹¸³¼ö»ê°úÇпø Á¦°ø ±¹³»¿¡¼...

Ç×¾ÏÁ¦ ¾È µè´ø ÃéÀå¾Ï Á¶Á÷, ºû ÂÉÀÌ´Ï Á×¾ú´Ù
(ÁÂÃø ÇϴܺÎÅÍ ¹Ý½Ã°è¹æÇâ) ±ÇÅÂÇõ ±³¼ö, ¹Ú¹Î±Ô ¿¬±¸¿ø, ¹ÎµÎ¿µ ±³¼ö, ±è¼À±&...

¡°5³â° ½Ç³»¼± Á¦´ë·Î ¾ÈÅÍÁö´Â 5G¡±¡¦ÀÌÅë3»ç ¡®5G Àκôµù ±âÁö±¹¡¯ ±¸Ãà °íÀÛ 10%´ë
5G(5¼¼´ë À̵¿Åë½Å) À̹ÌÁö(»çÁø ĸó) ÀÌÇØ¹Î ÀÇ¿ø½Ç Á¦°ø 2019³â 5G(5¼¼´ë ÀÌ...

'¿ìÁÖ»ê¾÷ À°¼º' ºÎ»êTP, ¼öµµ±Ç À¯¸Á±â¾÷ 5°÷°ú ¸Â¼Õ
ºÎ»êÅ×Å©³ëÆÄÅ©(ÀÌÇÏ ºÎ»êTP)°¡ ºÎ»ê Áö¿ª ¿ìÁÖ»ê¾÷ »ýŰè Á¶¼ºÀ» À§ÇÑ ¡®¿ìÁÖ»ê¾÷&n...

"81%´Â ¸¸¼ºÁúȯÀ¸·Î Á״µ¥¡¦¿¹¹æ¡¤°ü¸®´Â ¹ÌÈí"
Áúº´°ü¸®º»ºÎ '¸¸¼ºÁúȯ ÇöȲ°ú À̽´' ¹ß°£ (¼¿ï) Àü¸íÈÆ ±âÀÚ = ¾Ï, ¼øÈ¯±â°è Áúȯ, ´ç´¢º´ µî ¸¸¼ºÁúȯÀ¸·Î ÀÎÇÑ »ç¸ÁÀº Àüü »ç¸Á·üÀÇ 81%¸¦ Â÷ÁöÇϰí ÀÖ´Ù. ±×·¯³ª ÀÌ·¯ÇÑ ¸¸¼ºÁúȯ ¿¹¹æÀ» À§ÇÑ È°µ¿Àº...
IT/°úÇÐ | 08-20 14:32

±âÃʰúÇÐæÚ-õ¹®æÚ, õ¹®¿ìÁÖ ¿¬±¸¡¤Àη¾缺 Çù·Â
(´ëÀü) ÀÌÁÖ¿µ ±âÀÚ = ±âÃʰúÇבּ¸¿ø(IBS¡¤¿øÀå ±èµÎö)°ú Çѱ¹Ãµ¹®¿¬±¸¿ø(KASI¡¤¿øÀå ÇÑÀοì)Àº 20ÀÏ Ãµ¹®¿ìÁÖ°úÇÐ ºÐ¾ßÀÇ Çùµ¿¿¬±¸¿Í Àü¹®Àη ¾ç¼º¿¡ Çù·ÂÇϱâ·Î Çß´Ù°í ¹àÇû´Ù. ¾çÃøÀº À̳¯ ¿ÀÀü õ¹®¿¬ ´ë...
IT/°úÇÐ | 08-20 14:30

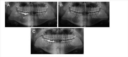
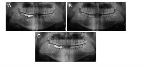
ÀÕ¸ö»À ¾ø´Â ȯÀÚ¿¡°Ô ÀÚ°¡Ä¡¾Æ ÀÌ½Ä ¼º°ø
°³²¼¼ºê¶õ½ºº´¿ø ÀÇ·áÁø, ¼ö¼ú °á°ú Àú¸í ÇмúÁö¿¡ (¼¿ï) Àü¸íÈÆ ±âÀÚ = ±¹³» ÀÇ·áÁøÀÌ Ä¡¾ÆÀÇ ¸Åº¹ »óÅ ¶§¹®¿¡ ÀÕ¸ö»À°¡ °ÅÀÇ ¾ø¾î Ä¡¾Æ À̽ÄÀÌ ¾î·Æ´ø ȯÀÚ¿¡°Ô ÀÚ°¡ Ä¡¾Æ¸¦ À̽ÄÇÏ´Â ¼ö¼ú¿¡ ¼º°øÇß´Ù. ÀÌ...
IT/°úÇÐ | 08-20 14:28

°¶³ëÆ®5¡¤°¶S6¿§Áö+ Ãâ½Ã¡¦»ï¼ºÆäÀ̵µ 'µ¿¹Ý Ãâ°Ý'(Á¾ÇÕ2º¸)
5.7ÀÎÄ¡ ´ëȸ鿡 ÃÖ÷´Ü ±â´É¡¦Ãâ°í°¡ 89¸¸9õ¿ø¡¤93¸¸9õ¿ø»ï¼ºÆäÀ̵µ À̳¯ºÎÅÍ ±¹³» »ó¿ë...
IT/°úÇÐ | 08-20 14:24

Áö±¸¼ 18±¤³â ¶³¾îÁø °÷¿¡¼ žç°è ¹Û ù ¿À·Î¶ó ¹ß°ß
(»÷ÇÁ¶õ½Ã½ºÄÚ) ÀÓȼ· ƯÆÄ¿ø = Áö±¸¿¡¼ 18±¤³â(¾à 170Á¶km) ¶³¾îÁø õü¿¡¼ ¿À·Î¶ó(±Ø±¤¡¤Ð¿ÎÃ)°¡ ¹ß°ßµÆ´Ù°í ¹Ì±¹ ±¹¸³ÀüÆÄõ¹®´ë(NRAO)°¡ 29ÀÏ(ÇöÁö½Ã°£) ¹àÇû´Ù. žç°è ¹Û õü¿¡¼ ¿À·Î¶ó°¡ ¹ß°ßµÈ °ÍÀº...
IT/°úÇÐ | 07-30 12:55

»ýȰ¿¡ ½º¸çµç ¸Þ½ÅÀú ij¸¯ÅÍ¡¦Àα⵵ »ç¾÷µµ '¾¦¾¦'
(¼¿ï) À±º¸¶÷ ±âÀÚ = ´ÙÀ½Ä«Ä«¿À[035720]¿Í ³×À̹ö ¶óÀÎÀÇ ¸Þ½ÅÀú ij¸¯Å͸¦ °¢Á¾ Á¦Ç°¿¡ Á¢¸ñÇÑ Äݶ󺸷¹ÀÌ¼Ç »ç¾÷ÀÌ È®´ëµÇ¸é¼ µÎ ±â¾÷ÀÌ 'Àϼ®ÀÌÁ¶'ÀÇ È¿°ú¸¦ º¸°í ÀÖ´Ù. ¿Â¡¤¿ÀÇÁ¶óÀλ󿡼 ij¸¯ÅÍ ...
IT/°úÇÐ | 07-30 12:53

±¹³» ÀÚ»ý½Ä¹°¿¡¼ ÃæÄ¡ Ç×±Õ ÃßÃâ¹° ¹ß°ß
µ¿¼ºÁ¦¾à¿¡ ±â¼úÀÌÀü¡¦±¸°À§»ý¿ë Ä¡¾à Ãâ½Ã ¿¹Á¤ (¼¼Á¾) ÀÓÁÖ¿µ ±âÀÚ = ȯ°æºÎ »êÇÏ ±¹¸³»ý¹°ÀÚ¿ø°üÀº ±¹³» ÀÚ»ý½Ä¹°·ÎºÎÅÍ ÃæÄ¡¿Í Ä¡ÁÖ¿° ¿øÀαտ¡ Ç×±Õ È¿°ú°¡ ¿ì¼öÇÑ ÃßÃâ¹°À» ã¾Æ³Â´Ù°í 29ÀÏ ¹àÇû´Ù. Ç×...
IT/°úÇÐ | 07-29 15:03

±¹³» ¿¬±¸Áø '±ÙÀ° °¨¼ÒÁõ' Ä¡·á °¡´É¼º ¿¾î
Çѱ¹»ý¸í°øÇבּ¸¿ø ±Ç±â¼± ¹Ú»ç ¿¬±¸ÆÀ ¼º°ú±ÙÀ° Áٱ⼼Æ÷ ³ëÈ Á¶Àý 'miRNA-431' ¹ß°ß (¼¿ï) ¾çÁ¤¿ì ±âÀÚ = ±¹³» ¿¬±¸ÁøÀÌ ±ÙÀ° Áٱ⼼Æ÷ÀÇ ³ëȸ¦ Á¶ÀýÇÏ´Â '¸¶ÀÌÅ©·Î¾Ë¿£¿¡ÀÌ'(miRNA)¸¦ ¹ß°ßÇÏ´Â µ¥ ¼º°øÇØ...
IT/°úÇÐ | 07-29 15:01

ÁßÀú°¡Æù µ¹Ç³ ÀÌ¾î ·»ÅÐÆù±îÁö¡¦ÈÞ´ëÀüÈ ½ÃÀåÀº °Ýº¯ Áß
SKT-SKC&C, ÈÞ´ëÀüÈ ·»Åмºñ½º °ËÅä (¼¿ï) ÇöÀ±°æ ±âÀÚ = ÀÛ³â 10¿ù ´Ü¸»±âÀ¯Å뱸Á¶°³¼±¹ý(´ÜÅë¹ý) ½ÃÇà ÀÌÀü±îÁö¸¸ ÇÏ´õ¶óµµ ÇÁ¸®¹Ì¾öÆù¿¡ ½ò·ÁÀÖ´ø ±¹³» ÈÞ´ëÀüÈ ½ÃÀåÀÌ °Ýº¯Çϰí ÀÖ´Ù. 29ÀÏ ¾÷°è¿¡ ...
IT/°úÇÐ | 07-29 14:55

"»Ñ¸®´Â Àڿܼ±Â÷´ÜÁ¦, ¼Õ¿¡ ´ú¾î ¾ó±¼¿¡ ¹ß¶ó¾ß"
½Ä¾àó, ÈÀåǰ¹ý ½ÃÇà·É ¹× ½ÃÇà±ÔÄ¢ °³Á¤ (¼¿ï) ±è¿¹³ª ±âÀÚ = ÈÀåǰ Á¦Á¶¾÷ü´Â ½ºÇÁ·¹ÀÌÇü Àڿܼ± Â÷´ÜÁ¦¸¦ ÆÇ¸ÅÇÒ ¶§ '¾ó±¼¿¡ Á÷Á¢ »Ñ¸®Áö ¸»°í ¹Ýµå½Ã ¼Õ¿¡ ´ú¾î ½á¾ß ÇÑ´Ù'´Â ÁÖÀÇ»çÇ×À» Ç¥½ÃÇØ¾ß ÇÑ´Ù...
À¯Åë/¼ÒºñÀÚ | 07-29 14:53
¹ÚÁø¿µ JYP¿£ÅÍÅ×ÀÎ¸ÕÆ® ´ëÇ¥ ÇÁ·Îµà¼°¡ 9ÀÏ ´ëÅë·É Á÷¼Ó ´ëÁß¹®È±³·ù...
°¡¼ö À¯½ÂÁØ(48¡¤¹Ì±¹ À̸§ ½ºÆ¼ºê ½ÂÁØ À¯)¾¾ÀÇ ºñÀÚ ¹ß±ÞÀ» µÑ·¯½Ñ ¼¼ ¹øÂ°...
±×·ì ¹æÅº¼Ò³â´Ü(BTS) ¸â¹ö Àü¿øÀÇ ±º º¹¹« Á¾·á¿Í Àç°áÇÕ¿¡ ¿Ü...
ȸ»ñµ· 43¾ï¿øÀ» Ⱦ·ÉÇÑ ÇøÀÇ·Î ±â¼ÒµÈ ¹è¿ì ȲÁ¤À½ÀÌ Àç»êÀ» óºÐÇØ ...
°æÂûÀÌ ½ÅûÇÑ ¹æ½ÃÇõ ÇÏÀ̺ê ÀÇÀåÀÇ ÀÚº»½ÃÀå¹ý À§¹Ý ÇøÀÇ¿Í °ü·ÃÇÑ ...
»óÈ£: ¿µ³²¸ÅÀϽŹ®(ÁÖ) | »ç¾÷ÀÚµî·Ï¹øÈ£: 506-81-85807 | ´ëÇ¥: °È£¼º | ½Å¹®µî·Ï¹øÈ£ : ºÎ»ê °¡00021 / ÀÎÅͳݽŹ®µî·Ï¹øÈ£ : ºÎ»ê, ¾Æ00272
ÀüÈ: 051-867-3909 | ÆÑ½º: 051-861-3463 | ÁÖ¼Ò: ºÎ»ê±¤¿ª½Ã ¿¬Á¦±¸ Áß¾Ó´ë·Î 1111, 1701È£ (¿¬»êµ¿, À§µåŸ¿ö)
copyright ¨Ï 2015 newsyn.co.kr All right reserved. | web@newsyn.co.kr