Áñ°Üã±âÃß°¡2025.11.26 ±â»óûGO

"½Å¶ó±Ý°ü Àß Ã¬°Ü" Æ®·³ÇÁ, ¹Ì±¹ µ¹¾Æ°¡¼± "Çѱ¹ÀÌ ¿ì¸® Á¸Áß"
µµ³Îµå Æ®·³ÇÁ ¹Ì±¹ ´ëÅë·ÉÀÌ ¾Æ½Ã¾Æ ¼ø¹æ ±â°£ Çѱ¹°ú Áß±¹, ÀϺ» µî 3°³±¹ Á¤»ó°ú ¸¸³ª ȸ´ãÇÑ µ¥ ´ëÇØ "¹ÏÀ» ¼ö ¾øÀ» Á¤µµ·Î ...

Æ®·³ÇÁ Á¾ÀÌ ³»¹ÐÀÚ »§ÅÍÁø ½ÃÁøÇΡ¦¹«½¼ ¹®±¸±æ·¡
¿øº»º¸±âÁö³ 30ÀÏ ºÎ»ê ±èÇØ±¹Á¦°øÇ× ¼ÒÀç ±èÇØ°ø±º±âÁö ³» Á¢°ßÀåÀÎ ³ª·¡¸¶·ç¿¡¼ ¿¸° ¹Ì-Áß ¾çÀÚ Á¤»óȸ´ã¿¡¼ µµ³Îµå Æ®·³...

15¸¸ ÀüÀÚ °£´Ù? Á¨½¼È² ¡°ÆÄÆ®³Ê¡± Á¡ÂïÀº »ï¼º ¸ñÇ¥ÁÖ°¡¡è
¿øº»º¸±âÁ¨½¼ Ȳ ¿£ºñµð¾Æ ÃÖ°í°æ¿µÀÚ(CEO)¿Í ÀÌÀç¿ë »ï¼ºÀüÀÚ È¸ÀåÀÌ Áö³ 30ÀÏ ¼¿ï °³²±¸ ÄÚ¿¢½º¿¡¼ ¿¸° ¿£ºñµð¾Æ ...

¡°Ä¡Å² ÇÑ ¸¶¸® °ªÀ¸·Î ¡®300¾ï¡¯ ¹ú¾ú´Ù°í¿ä?¡±
¡°Ä¡¸Æ ÇÑ ÀÜ¿¡ 300¾ïÂ¥¸® ±¤°í¡±¡¦¿£ºñµð¾Æ Á¨½¼ ȲÀÇ ¡®±ñºÎ ȸµ¿¡¯, K-ºê·£µå°¡ ¿ô¾ú´ÙġŲ¡¤¼Ò¸Æ¡¤È«»ï±îÁö ¼¼°è CEOµéÀÇ ÇÑ...
¹Ú¿ø¼ø "¼¿ï¿ª °í°¡ °ø¿øÈ, ´ëüµµ·Î °ËÅäÇϰڴÙ"
¹Ú¿ø¼ø "¼¿ï¿ª °í°¡ °ø¿øÈ, ´ëüµµ·Î °ËÅäÇϰڴÙ" ¸¸¸®Àç~³²´ë¹®½ÃÀå Á÷°áµÇ°Ô ½Åȣü°è¡¤Â÷·Î°³¼± (¼¿ï=¿¬ÇÕ´º½º) ÀÌÁ¤Çö ±âÀÚ = ¹Ú¿ø¼ø ¼¿ï½ÃÀåÀÌ ¼¿ï¿ª °í°¡ °ø¿øÈ »ç¾÷¿¡ µû¸¥ ±³Åë È¥ÀâÀ» ¹æÁöÇϱâ ...
| 04-17 11:24
°ñµçºê¸´Áö, NPL ·¦¾îÄ«¿îÆ® »óǰ Ãâ½Ã
°ñµçºê¸´Áö, NPL ·¦¾îÄ«¿îÆ® »óǰ Ãâ½Ã ¡ã °ñµçºê¸´ÁöÅõÀÚÁõ±ÇÀº °³ÀÎȸ»ý°ú ½Å¿ëȸº¹Ã¤±Ç µîÀÇ ºÎ½Çä±Ç(NPL¡¤Non Performing Loan)¿¡ ÅõÀÚÇÏ´Â 'GB NPL Tranche ·¦¾îÄ«¿îÆ®(wrap-account)' »óǰÀ» Ãâ½ÃÇß´Ù...
±³À° | 04-17 11:21
¼¿ï û¼Ò³â 4õ¸í ´ë»ó ³ó¾÷ üÇèÇÁ·Î±×·¥ ¿î¿µ
¼¿ï û¼Ò³â 4õ¸í ´ë»ó ³ó¾÷ üÇèÇÁ·Î±×·¥ ¿î¿µ (¼¿ï=¿¬ÇÕ´º½º) ÀÌÁ¤Çö ±âÀÚ = ¼¿ï½Ã´Â °¼±¸ °úÇØµ¿¿¡ 'Èú¸µÃ¼Çè³ó¿ø'À» Á¶¼ºÇÏ°í ´ÙÀ½ ´ÞºÎÅÍ 10¿ù±îÁö À¯Ä¡¿ø»ý, ÃÊ¡¤Áß»ý ´Üü 4õ¸íÀ» ´ë»óÀ¸·Î ³ó¾÷ ...
| 04-17 11:19
ÇѰ»ç¶û ÀÚÀü°Å ¾ÈÀü ÁöÅ´ÀÌ ¹ß´ë½Ä
ÇѰ»ç¶û ÀÚÀü°Å ¾ÈÀü ÁöÅ´ÀÌ ¹ß´ë½Ä (¼¿ï=¿¬ÇÕ´º½º) ȲÈñ°æ ±âÀÚ = ¼¿ï½Ã´Â 17ÀÏ ¿ÀÈÄ ÇѰ»ç¾÷º»ºÎ¿¡¼ 'ÇѰ»ç¶û ÀÚÀü°Å ¾ÈÀü ÁöÅ´ÀÌ' ¹ß´ë½ÄÀ» ¿¬´Ù. ¾ÈÀü ÁöÅ´ÀÌ´Â ÇѰ°ø¿ø ³» ¾ÈÀüÇÑ ÀÚÀü°Å Ÿ±â ...
»çȸ | 04-17 11:18
¼¿ïµµ¼°ü, ±è¼ºµµ ÀÛ°¡¿ÍÀÇ ¸¸³² Çà»ç °³ÃÖ
¼¿ïµµ¼°ü, ±è¼ºµµ ÀÛ°¡¿ÍÀÇ ¸¸³² Çà»ç °³ÃÖ (¼¿ï=¿¬ÇÕ´º½º) ÀÌÁ¤Çö ±âÀÚ = ¼¿ïµµ¼°üÀº 21ÀÏ 'µµ½ÃÀΰ£ÇÐ'ÀÇ ÀúÀÚ ±è¼ºµµ ÀÛ°¡¿ÍÀÇ ¸¸³² Çà»ç¸¦ ¿¬´Ù°í 17ÀÏ ¹àÇû´Ù. µµ½ÃÀΰ£ÇÐÀº Çѱ¹ ±âÈ£Çа踦 ´ë...
| 04-17 11:18
'¹°Æ÷·³ ¼º°ø' °æºÏ¡¦¹°»ê¾÷ ÇØ¿Ü½ÃÀå ÁøÃâ±â¹Ý È®´ë(Á¾ÇÕ)
'¹°Æ÷·³ ¼º°ø' °æºÏ¡¦¹°»ê¾÷ ÇØ¿Ü½ÃÀå ÁøÃâ±â¹Ý È®´ë(Á¾ÇÕ) ±Û·Î¹ú ±â¾÷°ú ÇÕÀÛ ÅõÀÚ ±â´ë¡¦3°³ ±Ç¿ªº° '¹°»ê¾÷ ƯÈ' (´ë±¸=¿¬ÇÕ´º½º) À̽ÂÇü ±âÀÚ = °æºÏµµ´Â 17ÀÏ Á¦7Â÷ ´ë±¸°æºÏ ¼¼°è¹°Æ÷·³À¸·Î µµ³» ¹°±â...
| 04-17 11:12
<¼îÇÎÁ¤º¸> ȨÇ÷¯½º ¾ÆÀ̽ºÇ÷£Æ®¡¤¹Ì´Ï¾ç¹èÃß ÀüÁ¡ ÆÇ¸Å
ȨÇ÷¯½º ¾ÆÀ̽ºÇ÷£Æ®¡¤¹Ì´Ï¾ç¹èÃß ÀüÁ¡ ÆÇ¸Å (¼¿ï=¿¬ÇÕ´º½º) ÀÌÀ¯¹Ì ±âÀÚ = ȨÇ÷¯½º°¡ ÀϺΠÁ¡Æ÷¿¡¼¸¸ ÆÇ¸ÅÇÏ´ø ±â´É¼º ä¼Ò ¾ÆÀ̽º Ç÷£Æ®¿Í ¹Ì´Ï ¾ç¹èÃ߸¦ ÀüÁ¡À¸·Î È®´ë ÆÇ¸ÅÇÑ´Ù°í 17ÀÏ ¹àÇû´Ù. ...
±³À° | 04-17 11:12
<ÁÖ¸»¿¡ °¡º¼ ¸¸ÇÑ °÷: È£³²±Ç>
ÁÖ¸» ºñ ÃÖ°í 40mm ¾ÈÆÆ¡¦'¸¶À½ Àû½Ã´Â' ¿¹¼ú ÀÛǰÀ» ¸¸³ª´Ù (±¤ÁÖ=¿¬ÇÕ´º½º) À徯¸§ ±âÀÚ = 4¿ù ¼Â° ÁÖ¸»ÀÎ 18~19ÀÏ È£³²Áö¿ªÀº ÃÖ°í 40mm ¾ÈÆÆÀÇ ºñ°¡ ³»¸®°Ú´Ù. À̹ø ÁÖ¸» ½Ç³» Àü½Ã °ø°£»Ó ¾Æ´Ï¶ó ...
»çȸ | 04-17 11:09
'¼Ò³ª¹« ¿¡ÀÌÁî' Àç¼±Ãæº´ ¼¿ï ³²»ê¼ È®ÀΡ¦±ä±Þ¹æÁ¦
'¼Ò³ª¹« ¿¡ÀÌÁî' Àç¼±Ãæº´ ¼¿ï ³²»ê¼ È®ÀΡ¦±ä±Þ¹æÁ¦ (¼¿ï=¿¬ÇÕ´º½º) ȲÈñ°æ ±âÀÚ = '¼Ò³ª¹« ¿¡ÀÌÁî'¶ó ºÒ¸®´Â Àç¼±Ãæ(î§àÊõù)º´¿¡ °É¸° ¼Ò³ª¹« 1ÁÖ°¡ ¼¿ï½Ã ¿ë»ê±¸ ³²»ê¿¡¼ ¹ß°ßµÅ ½Ã ´ç±¹ÀÌ 17ÀÏ ±ä±Þ¹æ...
»çȸ | 04-17 11:09
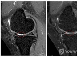
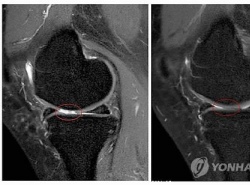
"ÀÚ°¡Áö¹æ¼¼Æ÷ À̽Ä, ÅðÇ༺°üÀý¿°¿¡ È¿°ú"
"ÀÚ°¡Áö¹æ¼¼Æ÷ À̽Ä, ÅðÇ༺°üÀý¿°¿¡ È¿°ú" (¼¿ï=¿¬ÇÕ´º½º) ÇѼº°£ ±âÀÚ = ÀÚ½ÅÀÇ Áö¹æÁ¶Á÷¿¡¼ äÃëÇÑ ÀÚ°¡Áö¹æ¼¼Æ÷ À̽ÄÀÌ ÅðÇ༺ °üÀý¿° Ä¡·á¿¡ È¿°ú°¡ ÀÖ´Ù´Â ¿¬±¸°á°ú°¡ ³ª¿Ô´Ù. ¼¼Æ÷Ä¡·á¡¤¸é¿ª¿ä¹ý ...
»çȸ | 04-17 11:09
¹ÚÁø¿µ JYP¿£ÅÍÅ×ÀÎ¸ÕÆ® ´ëÇ¥ ÇÁ·Îµà¼°¡ 9ÀÏ ´ëÅë·É Á÷¼Ó ´ëÁß¹®È±³·ù...
°¡¼ö À¯½ÂÁØ(48¡¤¹Ì±¹ À̸§ ½ºÆ¼ºê ½ÂÁØ À¯)¾¾ÀÇ ºñÀÚ ¹ß±ÞÀ» µÑ·¯½Ñ ¼¼ ¹øÂ°...
±×·ì ¹æÅº¼Ò³â´Ü(BTS) ¸â¹ö Àü¿øÀÇ ±º º¹¹« Á¾·á¿Í Àç°áÇÕ¿¡ ¿Ü...
ȸ»ñµ· 43¾ï¿øÀ» Ⱦ·ÉÇÑ ÇøÀÇ·Î ±â¼ÒµÈ ¹è¿ì ȲÁ¤À½ÀÌ Àç»êÀ» óºÐÇØ ...
°æÂûÀÌ ½ÅûÇÑ ¹æ½ÃÇõ ÇÏÀ̺ê ÀÇÀåÀÇ ÀÚº»½ÃÀå¹ý À§¹Ý ÇøÀÇ¿Í °ü·ÃÇÑ ...
»óÈ£: ¿µ³²¸ÅÀϽŹ®(ÁÖ) | »ç¾÷ÀÚµî·Ï¹øÈ£: 506-81-85807 | ´ëÇ¥: °È£¼º | ½Å¹®µî·Ï¹øÈ£ : ºÎ»ê °¡00021 / ÀÎÅͳݽŹ®µî·Ï¹øÈ£ : ºÎ»ê, ¾Æ00272
ÀüÈ: 051-867-3909 | ÆÑ½º: 051-861-3463 | ÁÖ¼Ò: ºÎ»ê±¤¿ª½Ã ¿¬Á¦±¸ Áß¾Ó´ë·Î 1111, 1701È£ (¿¬»êµ¿, À§µåŸ¿ö)
copyright ¨Ï 2015 newsyn.co.kr All right reserved. | web@newsyn.co.kr