Áñ°Üã±âÃß°¡2025.11.25 ±â»óûGO

"½Å¶ó±Ý°ü Àß Ã¬°Ü" Æ®·³ÇÁ, ¹Ì±¹ µ¹¾Æ°¡¼± "Çѱ¹ÀÌ ¿ì¸® Á¸Áß"
µµ³Îµå Æ®·³ÇÁ ¹Ì±¹ ´ëÅë·ÉÀÌ ¾Æ½Ã¾Æ ¼ø¹æ ±â°£ Çѱ¹°ú Áß±¹, ÀϺ» µî 3°³±¹ Á¤»ó°ú ¸¸³ª ȸ´ãÇÑ µ¥ ´ëÇØ "¹ÏÀ» ¼ö ¾øÀ» Á¤µµ·Î ...

Æ®·³ÇÁ Á¾ÀÌ ³»¹ÐÀÚ »§ÅÍÁø ½ÃÁøÇΡ¦¹«½¼ ¹®±¸±æ·¡
¿øº»º¸±âÁö³ 30ÀÏ ºÎ»ê ±èÇØ±¹Á¦°øÇ× ¼ÒÀç ±èÇØ°ø±º±âÁö ³» Á¢°ßÀåÀÎ ³ª·¡¸¶·ç¿¡¼ ¿¸° ¹Ì-Áß ¾çÀÚ Á¤»óȸ´ã¿¡¼ µµ³Îµå Æ®·³...

15¸¸ ÀüÀÚ °£´Ù? Á¨½¼È² ¡°ÆÄÆ®³Ê¡± Á¡ÂïÀº »ï¼º ¸ñÇ¥ÁÖ°¡¡è
¿øº»º¸±âÁ¨½¼ Ȳ ¿£ºñµð¾Æ ÃÖ°í°æ¿µÀÚ(CEO)¿Í ÀÌÀç¿ë »ï¼ºÀüÀÚ È¸ÀåÀÌ Áö³ 30ÀÏ ¼¿ï °³²±¸ ÄÚ¿¢½º¿¡¼ ¿¸° ¿£ºñµð¾Æ ...

¡°Ä¡Å² ÇÑ ¸¶¸® °ªÀ¸·Î ¡®300¾ï¡¯ ¹ú¾ú´Ù°í¿ä?¡±
¡°Ä¡¸Æ ÇÑ ÀÜ¿¡ 300¾ïÂ¥¸® ±¤°í¡±¡¦¿£ºñµð¾Æ Á¨½¼ ȲÀÇ ¡®±ñºÎ ȸµ¿¡¯, K-ºê·£µå°¡ ¿ô¾ú´ÙġŲ¡¤¼Ò¸Æ¡¤È«»ï±îÁö ¼¼°è CEOµéÀÇ ÇÑ...

¼¼Æ÷ ³» ¹ÌÅäÄܵ帮¾Æ¸¸ °ø°ÝÇÏ´Â ³ª³ë¾à¹°Àü´Þü °³¹ß
°¡Å縯´ë °ÇÑâ ±³¼ö "¼¼Æ÷ ¼Ò±â°ü Ç¥Àû ¾à¹°Àü´Þ ±â¼ú °³¹ß °¡¼ÓÈ" (´ëÀü) ÀÌÁÖ¿µ ±âÀÚ = ±¹³» ¿¬±¸ÁøÀÌ ¼¼Æ÷ ³»¿¡¼ ¿¡³ÊÁö¸¦ »ý¼ºÇÏ´Â ¼Ò±â°üÀÎ ¹ÌÅäÄܵ帮¾Æ¿¡ ¾à¹°À» È¿À²ÀûÀ¸·Î Àü´ÞÇÒ ¼ö ÀÖ´Â ÀÚ±âÁ¶¸³...
IT/°úÇÐ | 08-20 14:36

'Áßdz' ÆÈ¸¶ºñ ȯÀÚ¿ë °æ·® ÀçȰġ·á ·Îº¿ °³¹ß
°üÀý¼ö ´Ã·Á Ä¡·á È¿°ú¡è, ¹«°Ô ÁÙ¿© ¿°ÁõÀ¯¹ß¡é (¼¿ï) ¾çÁ¤¿ì ±âÀÚ = Çѱ¹±â°è¿¬±¸¿ø ¿¬±¸ÆÀÀÌ ÃÖ÷´Ü »ê¾÷¿ë ·Îº¿¿¡ »ç¿ëÇÏ´ø '°æ·® °íÃâ·Â ÅëÇÕ±¸µ¿¸ðµâ' ±â¼úÀ» Ȱ¿ëÇØ ³úÁ¹Áß(Áßdz)À¸·Î ÆÈ °üÀýÀÌ ¸¶ºñµÈ ...
IT/°úÇÐ | 08-20 14:34

"81%´Â ¸¸¼ºÁúȯÀ¸·Î Á״µ¥¡¦¿¹¹æ¡¤°ü¸®´Â ¹ÌÈí"
Áúº´°ü¸®º»ºÎ '¸¸¼ºÁúȯ ÇöȲ°ú À̽´' ¹ß°£ (¼¿ï) Àü¸íÈÆ ±âÀÚ = ¾Ï, ¼øÈ¯±â°è Áúȯ, ´ç´¢º´ µî ¸¸¼ºÁúȯÀ¸·Î ÀÎÇÑ »ç¸ÁÀº Àüü »ç¸Á·üÀÇ 81%¸¦ Â÷ÁöÇϰí ÀÖ´Ù. ±×·¯³ª ÀÌ·¯ÇÑ ¸¸¼ºÁúȯ ¿¹¹æÀ» À§ÇÑ È°µ¿Àº...
IT/°úÇÐ | 08-20 14:32

±âÃʰúÇÐæÚ-õ¹®æÚ, õ¹®¿ìÁÖ ¿¬±¸¡¤Àη¾缺 Çù·Â
(´ëÀü) ÀÌÁÖ¿µ ±âÀÚ = ±âÃʰúÇבּ¸¿ø(IBS¡¤¿øÀå ±èµÎö)°ú Çѱ¹Ãµ¹®¿¬±¸¿ø(KASI¡¤¿øÀå ÇÑÀοì)Àº 20ÀÏ Ãµ¹®¿ìÁÖ°úÇÐ ºÐ¾ßÀÇ Çùµ¿¿¬±¸¿Í Àü¹®Àη ¾ç¼º¿¡ Çù·ÂÇϱâ·Î Çß´Ù°í ¹àÇû´Ù. ¾çÃøÀº À̳¯ ¿ÀÀü õ¹®¿¬ ´ë...
IT/°úÇÐ | 08-20 14:30

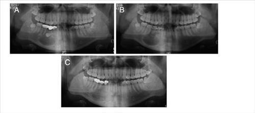
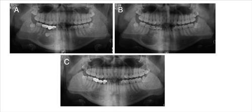
ÀÕ¸ö»À ¾ø´Â ȯÀÚ¿¡°Ô ÀÚ°¡Ä¡¾Æ ÀÌ½Ä ¼º°ø
°³²¼¼ºê¶õ½ºº´¿ø ÀÇ·áÁø, ¼ö¼ú °á°ú Àú¸í ÇмúÁö¿¡ (¼¿ï) Àü¸íÈÆ ±âÀÚ = ±¹³» ÀÇ·áÁøÀÌ Ä¡¾ÆÀÇ ¸Åº¹ »óÅ ¶§¹®¿¡ ÀÕ¸ö»À°¡ °ÅÀÇ ¾ø¾î Ä¡¾Æ À̽ÄÀÌ ¾î·Æ´ø ȯÀÚ¿¡°Ô ÀÚ°¡ Ä¡¾Æ¸¦ À̽ÄÇÏ´Â ¼ö¼ú¿¡ ¼º°øÇß´Ù. ÀÌ...
IT/°úÇÐ | 08-20 14:28

°¶³ëÆ®5¡¤°¶S6¿§Áö+ Ãâ½Ã¡¦»ï¼ºÆäÀ̵µ 'µ¿¹Ý Ãâ°Ý'(Á¾ÇÕ2º¸)
5.7ÀÎÄ¡ ´ëȸ鿡 ÃÖ÷´Ü ±â´É¡¦Ãâ°í°¡ 89¸¸9õ¿ø¡¤93¸¸9õ¿ø»ï¼ºÆäÀ̵µ À̳¯ºÎÅÍ ±¹³» »ó¿ë...
IT/°úÇÐ | 08-20 14:24

±Ý°¨¿ø, 90Á¶ ELS °ü·Ã »óǰ ÇÕµ¿°Ë»ç ³ª¼±´Ù
Áõ±Ç¡¤ÀºÇࡤº¸Çè '¾÷±Ç ŸÆÄ' °Ë»ç¹Ý ÅõÀÔ¡¦"¼±Á¦Àû ÅõÀÚÀÚ º¸È£" (¼¿ï) ±è¼öÁø ±âÀÚ = ±ÝÀ¶´ç±¹ÀÌ ÀºÇࡤÁõ±Ç¡¤º¸Çè ÇÕµ¿°Ë»ç¹ÝÀ» ²Ù·Á ÁÖ°¡¿¬°èÁõ±Ç(ELS) °ü·Ã »óǰ ¹× ÆÝµå ÆÇ¸Å ½ÇŸ¦ ÁýÁß Á¡°ËÇÑ´Ù....
Áõ±Ç/±ÝÀ¶ | 08-20 14:23

ùÛñéìí Áõ½Ã Ç϶ô¡¦"Áß±¹ °æ±â ºÒ¾È°¨ ¿©Àü"
(AP=¿¬ÇÕ´º½º ÀÚ·á»çÁø) (¼¿ï) ±è³²±Ç ±âÀÚ = ¾Æ½Ã¾Æ ÁÖ¿ä±¹ Áõ½Ã°¡ 20ÀÏ Ç϶ô È帧À» º¸À̰í ÀÖ´Ù. ÃÖ±Ù º¯µ¿¼ºÀÌ Å« Àå¼¼¸¦ º¸ÀÎ Áß±¹ ÁֽĽÃÀåÀº 1% ³Ñ°Ô ¶³¾îÁö¸ç Ãâ¹ßÇß´Ù. À̳¯ Áß±¹ »óÇÏÀÌÁ¾ÇÕÁö...
Áõ±Ç/±ÝÀ¶ | 08-20 14:21

"ÀÌÀÚ ±ð¾ÆÁà¿ä" ±Ý¸®ÀÎÇÏ ¿ä±¸±Ç Ȱ¼ºÈ ÃßÁø
±Ý°¨¿ø, º¸Ç衤ÀúÃàÀºÇà µî ¹ÌÀû¿ë ±ÝÀ¶»ç Áöµµ °ÈŰ·Î (¼¿ï) ¹Ú¿ëÁÖ ±âÀÚ = À̸£¸é ¿Ã 10¿ùºÎÅÍ º¸Çè»ç³ª ÀúÃàÀºÇà µî 2±ÝÀ¶±Ç¿¡¼µµ ±Ý¸®ÀÎÇÏ ¿ä±¸±ÇÀ» Æø³Ð°Ô Çà»çÇÒ ¼ö ÀÖ°Ô µÈ´Ù. ¿©½Å°Å·¡ ±âº»¾à...
Áõ±Ç/±ÝÀ¶ | 08-20 14:16

2ºÐ±â ÀÏÆò±Õ ¿Üȯ°Å·¡ 497¾ï ´Þ·¯¡¦±Ù 7³â ¸¸¿¡ ÃÖ´ë
¿ø/À§¾ÈÈ Á÷°Å·¡½ÃÀå °³¼³ ¿µÇâ (¼¿ï) ±èÁöÈÆ ±âÀÚ = ¿ø/À§¾ÈÈ Á÷°Å·¡½ÃÀå °³¼³ÀÇ ¿µÇâÀ¸·Î ¿Üȯ°Å·¡ ±Ô¸ð°¡ ±Ù 7³â ¸¸¿¡ ÃÖ´ë ¼öÁØÀ¸·Î ´Ã¾ú´Ù. 20ÀÏ Çѱ¹ÀºÇàÀÌ ¹ßÇ¥ÇÑ ÀÚ·á¿¡ µû¸£¸é ¿Ã 2ºÐ±â ¿Ü±¹...
Áõ±Ç/±ÝÀ¶ | 08-20 14:14
¹ÚÁø¿µ JYP¿£ÅÍÅ×ÀÎ¸ÕÆ® ´ëÇ¥ ÇÁ·Îµà¼°¡ 9ÀÏ ´ëÅë·É Á÷¼Ó ´ëÁß¹®È±³·ù...
°¡¼ö À¯½ÂÁØ(48¡¤¹Ì±¹ À̸§ ½ºÆ¼ºê ½ÂÁØ À¯)¾¾ÀÇ ºñÀÚ ¹ß±ÞÀ» µÑ·¯½Ñ ¼¼ ¹øÂ°...
±×·ì ¹æÅº¼Ò³â´Ü(BTS) ¸â¹ö Àü¿øÀÇ ±º º¹¹« Á¾·á¿Í Àç°áÇÕ¿¡ ¿Ü...
ȸ»ñµ· 43¾ï¿øÀ» Ⱦ·ÉÇÑ ÇøÀÇ·Î ±â¼ÒµÈ ¹è¿ì ȲÁ¤À½ÀÌ Àç»êÀ» óºÐÇØ ...
°æÂûÀÌ ½ÅûÇÑ ¹æ½ÃÇõ ÇÏÀ̺ê ÀÇÀåÀÇ ÀÚº»½ÃÀå¹ý À§¹Ý ÇøÀÇ¿Í °ü·ÃÇÑ ...
»óÈ£: ¿µ³²¸ÅÀϽŹ®(ÁÖ) | »ç¾÷ÀÚµî·Ï¹øÈ£: 506-81-85807 | ´ëÇ¥: °È£¼º | ½Å¹®µî·Ï¹øÈ£ : ºÎ»ê °¡00021 / ÀÎÅͳݽŹ®µî·Ï¹øÈ£ : ºÎ»ê, ¾Æ00272
ÀüÈ: 051-867-3909 | ÆÑ½º: 051-861-3463 | ÁÖ¼Ò: ºÎ»ê±¤¿ª½Ã ¿¬Á¦±¸ Áß¾Ó´ë·Î 1111, 1701È£ (¿¬»êµ¿, À§µåŸ¿ö)
copyright ¨Ï 2015 newsyn.co.kr All right reserved. | web@newsyn.co.kr