Áñ°Üã±âÃß°¡2025.11.27 ±â»óûGO

"½Å¶ó±Ý°ü Àß Ã¬°Ü" Æ®·³ÇÁ, ¹Ì±¹ µ¹¾Æ°¡¼± "Çѱ¹ÀÌ ¿ì¸® Á¸Áß"
µµ³Îµå Æ®·³ÇÁ ¹Ì±¹ ´ëÅë·ÉÀÌ ¾Æ½Ã¾Æ ¼ø¹æ ±â°£ Çѱ¹°ú Áß±¹, ÀϺ» µî 3°³±¹ Á¤»ó°ú ¸¸³ª ȸ´ãÇÑ µ¥ ´ëÇØ "¹ÏÀ» ¼ö ¾øÀ» Á¤µµ·Î ...

Æ®·³ÇÁ Á¾ÀÌ ³»¹ÐÀÚ »§ÅÍÁø ½ÃÁøÇΡ¦¹«½¼ ¹®±¸±æ·¡
¿øº»º¸±âÁö³ 30ÀÏ ºÎ»ê ±èÇØ±¹Á¦°øÇ× ¼ÒÀç ±èÇØ°ø±º±âÁö ³» Á¢°ßÀåÀÎ ³ª·¡¸¶·ç¿¡¼ ¿¸° ¹Ì-Áß ¾çÀÚ Á¤»óȸ´ã¿¡¼ µµ³Îµå Æ®·³...

15¸¸ ÀüÀÚ °£´Ù? Á¨½¼È² ¡°ÆÄÆ®³Ê¡± Á¡ÂïÀº »ï¼º ¸ñÇ¥ÁÖ°¡¡è
¿øº»º¸±âÁ¨½¼ Ȳ ¿£ºñµð¾Æ ÃÖ°í°æ¿µÀÚ(CEO)¿Í ÀÌÀç¿ë »ï¼ºÀüÀÚ È¸ÀåÀÌ Áö³ 30ÀÏ ¼¿ï °³²±¸ ÄÚ¿¢½º¿¡¼ ¿¸° ¿£ºñµð¾Æ ...

¡°Ä¡Å² ÇÑ ¸¶¸® °ªÀ¸·Î ¡®300¾ï¡¯ ¹ú¾ú´Ù°í¿ä?¡±
¡°Ä¡¸Æ ÇÑ ÀÜ¿¡ 300¾ïÂ¥¸® ±¤°í¡±¡¦¿£ºñµð¾Æ Á¨½¼ ȲÀÇ ¡®±ñºÎ ȸµ¿¡¯, K-ºê·£µå°¡ ¿ô¾ú´ÙġŲ¡¤¼Ò¸Æ¡¤È«»ï±îÁö ¼¼°è CEOµéÀÇ ÇÑ...
Çö´ë»ó¼± ¿ë¼±·á Çù»ó 'ÆÄÀ̳Π¶ó¿îµå'¡¦Ã¤±Ç´Üµµ º¶û³¡ Àü¼ú
Çö´ë»ó¼± ¿ë¼±·á Çù»ó 'ÆÄÀ̳Π¶ó¿îµå'¡¦Ã¤±Ç´Üµµ º¶û³¡ Àü¼ú (¼¿ï=¿¬ÇÕ´º½º) ÀÓÇü¼· ÀÌÁöÇå ±âÀÚ = Á¤ºÎ¿Í ä±Ç´ÜÀÌ Çö´ë»ó¼±[011200] ¿ë¼±·á Çù»ó µ¥µå¶óÀÎÀ» 20ÀÏ·Î Á¤ÇÑ °¡¿îµ¥ Çù»ó´ÜÀÌ ¾ÆÁ÷ ÀÔÀåÀ» Á¤...
°æÁ¦ | 05-04 11:06
Ú¸°øÈ Àü±¹À§¿øÀå "Æ®·³ÇÁ, »ç½Ç»ó ´ç ´ë¼±Èĺ¸" °ø½Ä ¼±¾ð
Ú¸°øÈ Àü±¹À§¿øÀå "Æ®·³ÇÁ, »ç½Ç»ó ´ç ´ë¼±Èĺ¸" °ø½Ä ¼±¾ð (¿ö½ÌÅÏ=¿¬ÇÕ´º½º) ½ÉÀμº ƯÆÄ¿ø = ¹Ì±¹ °øÈ´ç ÁöµµºÎ°¡ 3ÀÏ(ÇöÁö½Ã°£) ¼±µÎÁÖÀÚÀÎ µµ³Îµå Æ®·³ÇÁ°¡ "»ç½Ç»ó ´çÀÇ ´ë¼±ÁÖÀÚ"¶ó°í °ø½Ä ¼±¾ðÇß´Ù. ...
Á¤Ä¡ | 05-04 10:45
Èú·¯¸® vs Æ®·³ÇÁ ¿ª´ë °¡Àå 'ÁöÀúºÐÇÑ ½Î¿ò' ÆîÄ£´Ù
Èú·¯¸® vs Æ®·³ÇÁ ¿ª´ë °¡Àå 'ÁöÀúºÐÇÑ ½Î¿ò' ÆîÄ£´Ù '¿©¼ºÄ«µå'¡¤¼ºÃß¹®¡¤ÀÎÁ¾Â÷º°¡¤À̸ÞÀϽºÄµµé µî °¢Á¾ Ãß¹® µÑ·¯½Ñ ºñ¹æÀü ¿¹»ó Ú¸¡¤çÈ ¾ð·Ð "µÎ Èĺ¸ ¸ðµÎ ºñÈ£°¨¡¦°¡Àå ÁöÀúºÐÇÑ Ä·ÆäÀÎ Àü¸Á" (¿ö½ÌÅÏ=...
±¹Á¦ | 05-04 08:39
ÀÎ»ï ¼ººÐºÐ¼® 10¹è »¡¶óÁø´Ù¡¦"ÀúÁúÁ¦Ç° À¯Åë Â÷´Ü"
ÀÎ»ï ¼ººÐºÐ¼® 10¹è »¡¶óÁø´Ù¡¦"ÀúÁúÁ¦Ç° À¯Åë Â÷´Ü" (¼¿ï=¿¬ÇÕ´º½º) ¸ÍÂùÇü ±âÀÚ = Àλï°ú È«»ï Á¦Ç°¿¡ µé¾îÀÖ´Â »çÆ÷´Ñ°ú Áø¼¼³ë»çÀÌµå µî ÁÖ¿ä ¼ººÐÀ» ±âÁ¸ ¹æ½Äº¸´Ù 10¹è ÀÌ»ó ºü¸£°Ô ºÐ¼®ÇÒ ¼ö ÀÖ´Â ±â¹ý...
°æÁ¦ | 05-03 16:06
¼öÀÔ Àå¾î¸¦ ±¹»êÀ¸·Î ¼Ó¿© 8¾ï´ë ì±ä ÀÏ´ç ´ú¹Ì
¼öÀÔ Àå¾î¸¦ ±¹»êÀ¸·Î ¼Ó¿© 8¾ï´ë ì±ä ÀÏ´ç ´ú¹Ì Áß±¹¡¤¸ð·ÎÄÚ»ê 88t ±¹»êÀ¸·Î µÐ°© kg´ç 6¸¸¿ø¿¡ ÆÈ¾Æ (¼ö¿ø=¿¬ÇÕ´º½º) °¿µÈÆ ±âÀÚ = °æ±â³²ºÎÁö¹æ°æÂûû Áö´É¹üÁ˼ö»ç´ë´Â ¼öÀÔÀå¾î¸¦ ±¹»êÀ¸·Î µÐ°©½ÃÄÑ ...
°æÁ¦ | 05-03 13:33
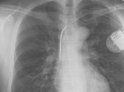
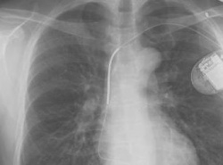
"»ðÀÔÇü Á¦¼¼µ¿±â, Àå±âÀû ºÎÀÛ¿ë À§Çè"
"»ðÀÔÇü Á¦¼¼µ¿±â, Àå±âÀû ºÎÀÛ¿ë À§Çè" (¼¿ï=¿¬ÇÕ´º½º) ÇѼº°£ ±âÀÚ = ½ÉÀå¹Úµ¿ÀÌ °©ÀÛ½º·´°Ô ºÒ±ÔÄ¢ÇØÁú ¶§ À̸¦ °¨Áö, Àü±âÃæ°ÝÀ» °¡ÇÔÀ¸·Î½á ½É¹Úµ¿À» Á¤»óÀ¸·Î ȸº¹½ÃŰ´Â »ðÀÔÇü Á¦¼¼µ¿±â(implanted def...
| 05-03 11:06
Çѱ¹»ê ¼¼Å¹±â È£ÁÖ¡¤´ºÁú·£µå¼ 'Àαâ'¡¦¼öÃâ·® 176%¡è
Çѱ¹»ê ¼¼Å¹±â È£ÁÖ¡¤´ºÁú·£µå¼ 'Àαâ'¡¦¼öÃâ·® 176%¡è (¼¼Á¾=¿¬ÇÕ´º½º) ±èµ¿È£ ±âÀÚ = ÃÖ±Ù Çѱ¹°ú ÀÚÀ¯¹«¿ªÇùÁ¤(FTA)ÀÌ Ã¼°áµÈ È£ÁÖ¿Í ´ºÁú·£µå µî ¿À¼¼¾Æ´Ï¾Æ Áö¿ª¿¡¼ Çѱ¹»ê ¼¼Å¹±â°¡ Å« Àα⸦ ²ø°í ÀÖ...
°æÁ¦ | 05-03 09:18
À̶õ Áß¼Ò±â¾÷¿¡ »ê¾÷±â¼ú ³ëÇÏ¿ì Àü¼öÇÑ´Ù
À̶õ Áß¼Ò±â¾÷¿¡ »ê¾÷±â¼ú ³ëÇÏ¿ì Àü¼öÇÑ´Ù (¼¿ï=¿¬ÇÕ´º½º) ±è¿µÇö ±âÀÚ = ¿ì¸®³ª¶ó°¡ À̶õÀÇ Áß¼Ò±â¾÷¿¡ »ê¾÷±â¼ú ³ëÇϿ츦 Àü¼öÇÑ´Ù. Çѱ¹»ê¾÷±â¼úÁøÈï¿ø(KIAT)Àº 2ÀÏ(ÇöÁö½Ã°£) À̶õ Å×Çì¶õ¿¡¼ ÀÌ...
°æÁ¦ | 05-03 09:18
¸Þ¸£ÄÚ¼ö¸£-EU, ³»ÁÖ FTA Çù»ó¾È ±³È¯¡¦³óÃà»ê¹° °³¹æ ÁÖ¸ñ
¸Þ¸£ÄÚ¼ö¸£-EU, ³»ÁÖ FTA Çù»ó¾È ±³È¯¡¦³óÃà»ê¹° °³¹æ ÁÖ¸ñ (»óÆÄ¿ï·ç=¿¬ÇÕ´º½º) ±èÀç¼ø Åë½Å¿ø = ³²¹Ì°øµ¿½ÃÀå(¸Þ¸£ÄÚ¼ö¸£)°ú À¯·´¿¬ÇÕ(EU)ÀÌ ÀÚÀ¯¹«¿ªÇùÁ¤(FTA)À» À§ÇÑ Çù»ó¾ÈÀ» ´ÙÀ½ ÁÖ¿¡ ±³È¯ÇÒ °ÍÀ¸·Î ¾Ë...
°æÁ¦ | 05-03 06:24
ÇìÀÌ±× ÁßÀçÀçÆÇ¼Ò "Àεµ¿¡ ¾ï·ùµÈ ì¥Çرº ±ÍÇâ °¡´É"
ÇìÀÌ±× ÁßÀçÀçÆÇ¼Ò "Àεµ¿¡ ¾ï·ùµÈ ì¥Çرº ±ÍÇâ °¡´É" ÀÌÅ»¸®¾Æ "ÆÇ°á ȯ¿µ"¡¦Àεµ "¾ç±¹ ÇÕÀÇ ¼±Çà µÅ¾ß" (·Î¸¶=¿¬ÇÕ´º½º) ÇöÀ±°æ ƯÆÄ¿ø = Àεµ ¾î¹ÎÀ» ÇØÀûÀ¸·Î ¿ÀÀÎÇØ »ç»ìÇÑ ÇøÀÇ·Î Àεµ¿¡ ¼ö ³â° ¾ï·ù...
±¹Á¦ | 05-03 01:21
¹ÚÁø¿µ JYP¿£ÅÍÅ×ÀÎ¸ÕÆ® ´ëÇ¥ ÇÁ·Îµà¼°¡ 9ÀÏ ´ëÅë·É Á÷¼Ó ´ëÁß¹®È±³·ù...
°¡¼ö À¯½ÂÁØ(48¡¤¹Ì±¹ À̸§ ½ºÆ¼ºê ½ÂÁØ À¯)¾¾ÀÇ ºñÀÚ ¹ß±ÞÀ» µÑ·¯½Ñ ¼¼ ¹øÂ°...
±×·ì ¹æÅº¼Ò³â´Ü(BTS) ¸â¹ö Àü¿øÀÇ ±º º¹¹« Á¾·á¿Í Àç°áÇÕ¿¡ ¿Ü...
ȸ»ñµ· 43¾ï¿øÀ» Ⱦ·ÉÇÑ ÇøÀÇ·Î ±â¼ÒµÈ ¹è¿ì ȲÁ¤À½ÀÌ Àç»êÀ» óºÐÇØ ...
°æÂûÀÌ ½ÅûÇÑ ¹æ½ÃÇõ ÇÏÀ̺ê ÀÇÀåÀÇ ÀÚº»½ÃÀå¹ý À§¹Ý ÇøÀÇ¿Í °ü·ÃÇÑ ...
»óÈ£: ¿µ³²¸ÅÀϽŹ®(ÁÖ) | »ç¾÷ÀÚµî·Ï¹øÈ£: 506-81-85807 | ´ëÇ¥: °È£¼º | ½Å¹®µî·Ï¹øÈ£ : ºÎ»ê °¡00021 / ÀÎÅͳݽŹ®µî·Ï¹øÈ£ : ºÎ»ê, ¾Æ00272
ÀüÈ: 051-867-3909 | ÆÑ½º: 051-861-3463 | ÁÖ¼Ò: ºÎ»ê±¤¿ª½Ã ¿¬Á¦±¸ Áß¾Ó´ë·Î 1111, 1701È£ (¿¬»êµ¿, À§µåŸ¿ö)
copyright ¨Ï 2015 newsyn.co.kr All right reserved. | web@newsyn.co.kr