Áñ°Üã±âÃß°¡2025.11.23 ±â»óûGO

¡°Ä¡Å² ÇÑ ¸¶¸® °ªÀ¸·Î ¡®300¾ï¡¯ ¹ú¾ú´Ù°í¿ä?¡±
¡°Ä¡¸Æ ÇÑ ÀÜ¿¡ 300¾ïÂ¥¸® ±¤°í¡±¡¦¿£ºñµð¾Æ Á¨½¼ ȲÀÇ ¡®±ñºÎ ȸµ¿¡¯, K-ºê·£µå°¡ ¿ô¾ú´ÙġŲ¡¤¼Ò¸Æ¡¤È«»ï±îÁö ¼¼°è CEOµéÀÇ ÇÑ...

¡°¿ì¸® ġŲ ¸ÀÀִµ¥, Á¨½¼ ȲÀÌ ¾Ë¾ÆÁ༠°í¸¶¿ö¿ä¡±¡¦±ñºÎġŲ ¡®Ä¡¸Æ ȸµ¿¡¯¿¡ Ư¼ö
¿øº»º¸±âÁ¨½¼ Ȳ ¿£ºñµð¾Æ ÃÖ°í°æ¿µÀÚ°¡ Áö³ 30ÀÏ ¼¿ï »ï¼ºµ¿ ÇÑ Ä¡Å²Áý¿¡¼ ÀÌÀç¿ë »ï¼ºÀüÀÚ È¸Àå, Á¤ÀǼ± Çö´ëÂ÷±×·ì ȸÀå°ú...

LGÀüÀÚ, Àεµ¹ýÀÎ ÁöºÐ 15% ¸Å°¢¡¦À̸£¸é ÀÌ´Þ ÇöÁö ½ÃÀå IPO ¸¶¹«¸®
º»¹® ¿ä¾àº¿ÅؽºÆ® À½¼º º¯È¯ ¼ºñ½º »ç¿ëÇϱâ±ÛÀÚ°ø¸ð ±Ô¸ð 1Á¶8000¾ï¿ø ¿¹°ø¸ð ±Ô¸ð 1Á¶8000¾ï¿ø ¿¹»ó°ø¸ð ±Ô¸ð ...

¸íµ¿¡¤´ë¸²¡¤¾È»ê¡¦ÇøÁß½ÃÀ§¿¡ ¸ö ÇÇÇÏ´Â ñé °ü±¤°´
¡®Â¯°³¡¯ ¡®Â÷À̳ª ¾Æ¿ô¡¯ µî Çø¿À ¹ß¾ð ½ñ¾ÆÁ®¾È»ê¡¤´ë¸²µ¿ µî À§Ä¡ ¿Å°Ü°¡¸ç ½ÃÀ§¿øº»º¸±âÀ±¼®¿ Àü ´ëÅë·ÉÀ» ÁöÁöÇÏ´Â ±Ø¿ì ...

¼¼¿ùÈ£º¸´Ù ¼Ã´ø ¸Þ¸£½º¡¦¿Ã 2ºÐ±â ¼Òºñ ÃÖÀúÄ¡ Ãß¶ô(Á¾ÇÕ)
¿À¶ô¡¤¹®È ÁöÃâ ±Þ°¨¡¦´ëÁß±³Å롤ÀÇ·ù ¼Òºñµµ Ç϶ô¼ÒµæºÐ¹è °³¼± Áö¼Ó¡¦1ºÐÀ§ Àú¼ÒµæÃþ °¡°è¼Òµæ 9.6%¡èÃëµæ¼¼ µî ºñ°æ»óÁ¶¼¼ ±ÞÁõ¡¦ºÎµ¿»ê°Å·¡ Ȱ¼ºÈ ¿µÇâ (¼¼Á¾) ±èµ¿È£ ¹ÚÃÊ·Õ ±âÀÚ = Áö³ 6¿ù ±â½ÂÀ» ...
±â¾÷/»ê¾÷ | 08-21 16:30

"À¯ÀüÀÚ°Ë»ç Á¤È®µµ ³ô¿©¶ó"¡¦º¹ÁöºÎ, Àü¹®°¡ÇùÀÇȸ ±¸¼º
(¼¿ï) ±èº´±Ô ±âÀÚ = º¸°Çº¹ÁöºÎ´Â À¯ÀüÀÚ°Ë»çÁ¦µµÀÇ °³¼±¹æ¾ÈÀ» ¸¶·ÃÇϰíÀÚ Àü¹®°¡ÇùÀÇü¸¦ ±¸¼ºÇØ ¿î¿µÇÑ´Ù°í 20ÀÏ ¹àÇû´Ù. º¹ÁöºÎ´Â ÀÇ·á°è, »ê¾÷°è, »ý¸íÀ±¸®°è, °úÇаè, ¹ýÇаèÀÇ ¿ÜºÎ Àü¹®°¡¿Í º¹ÁöºÎ, ...
IT/°úÇÐ | 08-20 14:39

"Áß±¹ °úÇÐÀÚ, À¯ÀüÀÚ Á¶ÀÛÇØ '½´ÆÛ ½Ò' °³¹ß"
(È«Äá=¿¬ÇÕ´º½º) ÃÖÇö¼® ƯÆÄ¿ø = Áß±¹ °úÇÐÀÚµéÀÌ À¯ÀüÀÚ¸¦ Á¶ÀÛÇØ ±æÀ̰¡ 30% ±ä '½´ÆÛ ½Ò'À» °³¹ßÇß´Ù°í ÇöÁö ¾ð·ÐÀÌ 20ÀÏ º¸µµÇß´Ù. Áß±¹°úÇпø »êÇÏ À¯Àü¡¤¹ßÀ°»ý¹°Çבּ¸¼ÒÀÇ ¸®ÀÚ¾ç(×ÝÊ«åÇ) ¿¬±¸¿ø°ú Ãß...
IT/°úÇÐ | 08-20 14:37

¼¼Æ÷ ³» ¹ÌÅäÄܵ帮¾Æ¸¸ °ø°ÝÇÏ´Â ³ª³ë¾à¹°Àü´Þü °³¹ß
°¡Å縯´ë °ÇÑâ ±³¼ö "¼¼Æ÷ ¼Ò±â°ü Ç¥Àû ¾à¹°Àü´Þ ±â¼ú °³¹ß °¡¼ÓÈ" (´ëÀü) ÀÌÁÖ¿µ ±âÀÚ = ±¹³» ¿¬±¸ÁøÀÌ ¼¼Æ÷ ³»¿¡¼ ¿¡³ÊÁö¸¦ »ý¼ºÇÏ´Â ¼Ò±â°üÀÎ ¹ÌÅäÄܵ帮¾Æ¿¡ ¾à¹°À» È¿À²ÀûÀ¸·Î Àü´ÞÇÒ ¼ö ÀÖ´Â ÀÚ±âÁ¶¸³...
IT/°úÇÐ | 08-20 14:36

'Áßdz' ÆÈ¸¶ºñ ȯÀÚ¿ë °æ·® ÀçȰġ·á ·Îº¿ °³¹ß
°üÀý¼ö ´Ã·Á Ä¡·á È¿°ú¡è, ¹«°Ô ÁÙ¿© ¿°ÁõÀ¯¹ß¡é (¼¿ï) ¾çÁ¤¿ì ±âÀÚ = Çѱ¹±â°è¿¬±¸¿ø ¿¬±¸ÆÀÀÌ ÃÖ÷´Ü »ê¾÷¿ë ·Îº¿¿¡ »ç¿ëÇÏ´ø '°æ·® °íÃâ·Â ÅëÇÕ±¸µ¿¸ðµâ' ±â¼úÀ» Ȱ¿ëÇØ ³úÁ¹Áß(Áßdz)À¸·Î ÆÈ °üÀýÀÌ ¸¶ºñµÈ ...
IT/°úÇÐ | 08-20 14:34

"81%´Â ¸¸¼ºÁúȯÀ¸·Î Á״µ¥¡¦¿¹¹æ¡¤°ü¸®´Â ¹ÌÈí"
Áúº´°ü¸®º»ºÎ '¸¸¼ºÁúȯ ÇöȲ°ú À̽´' ¹ß°£ (¼¿ï) Àü¸íÈÆ ±âÀÚ = ¾Ï, ¼øÈ¯±â°è Áúȯ, ´ç´¢º´ µî ¸¸¼ºÁúȯÀ¸·Î ÀÎÇÑ »ç¸ÁÀº Àüü »ç¸Á·üÀÇ 81%¸¦ Â÷ÁöÇϰí ÀÖ´Ù. ±×·¯³ª ÀÌ·¯ÇÑ ¸¸¼ºÁúȯ ¿¹¹æÀ» À§ÇÑ È°µ¿Àº...
IT/°úÇÐ | 08-20 14:32

±âÃʰúÇÐæÚ-õ¹®æÚ, õ¹®¿ìÁÖ ¿¬±¸¡¤Àη¾缺 Çù·Â
(´ëÀü) ÀÌÁÖ¿µ ±âÀÚ = ±âÃʰúÇבּ¸¿ø(IBS¡¤¿øÀå ±èµÎö)°ú Çѱ¹Ãµ¹®¿¬±¸¿ø(KASI¡¤¿øÀå ÇÑÀοì)Àº 20ÀÏ Ãµ¹®¿ìÁÖ°úÇÐ ºÐ¾ßÀÇ Çùµ¿¿¬±¸¿Í Àü¹®Àη ¾ç¼º¿¡ Çù·ÂÇϱâ·Î Çß´Ù°í ¹àÇû´Ù. ¾çÃøÀº À̳¯ ¿ÀÀü õ¹®¿¬ ´ë...
IT/°úÇÐ | 08-20 14:30

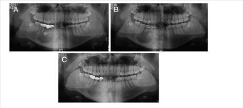
ÀÕ¸ö»À ¾ø´Â ȯÀÚ¿¡°Ô ÀÚ°¡Ä¡¾Æ ÀÌ½Ä ¼º°ø
°³²¼¼ºê¶õ½ºº´¿ø ÀÇ·áÁø, ¼ö¼ú °á°ú Àú¸í ÇмúÁö¿¡ (¼¿ï) Àü¸íÈÆ ±âÀÚ = ±¹³» ÀÇ·áÁøÀÌ Ä¡¾ÆÀÇ ¸Åº¹ »óÅ ¶§¹®¿¡ ÀÕ¸ö»À°¡ °ÅÀÇ ¾ø¾î Ä¡¾Æ À̽ÄÀÌ ¾î·Æ´ø ȯÀÚ¿¡°Ô ÀÚ°¡ Ä¡¾Æ¸¦ À̽ÄÇÏ´Â ¼ö¼ú¿¡ ¼º°øÇß´Ù. ÀÌ...
IT/°úÇÐ | 08-20 14:28

°¶³ëÆ®5¡¤°¶S6¿§Áö+ Ãâ½Ã¡¦»ï¼ºÆäÀ̵µ 'µ¿¹Ý Ãâ°Ý'(Á¾ÇÕ2º¸)
5.7ÀÎÄ¡ ´ëȸ鿡 ÃÖ÷´Ü ±â´É¡¦Ãâ°í°¡ 89¸¸9õ¿ø¡¤93¸¸9õ¿ø»ï¼ºÆäÀ̵µ À̳¯ºÎÅÍ ±¹³» »ó¿ë...
IT/°úÇÐ | 08-20 14:24

±Ý°¨¿ø, 90Á¶ ELS °ü·Ã »óǰ ÇÕµ¿°Ë»ç ³ª¼±´Ù
Áõ±Ç¡¤ÀºÇࡤº¸Çè '¾÷±Ç ŸÆÄ' °Ë»ç¹Ý ÅõÀÔ¡¦"¼±Á¦Àû ÅõÀÚÀÚ º¸È£" (¼¿ï) ±è¼öÁø ±âÀÚ = ±ÝÀ¶´ç±¹ÀÌ ÀºÇࡤÁõ±Ç¡¤º¸Çè ÇÕµ¿°Ë»ç¹ÝÀ» ²Ù·Á ÁÖ°¡¿¬°èÁõ±Ç(ELS) °ü·Ã »óǰ ¹× ÆÝµå ÆÇ¸Å ½ÇŸ¦ ÁýÁß Á¡°ËÇÑ´Ù....
Áõ±Ç/±ÝÀ¶ | 08-20 14:23
¹ÚÁø¿µ JYP¿£ÅÍÅ×ÀÎ¸ÕÆ® ´ëÇ¥ ÇÁ·Îµà¼°¡ 9ÀÏ ´ëÅë·É Á÷¼Ó ´ëÁß¹®È±³·ù...
°¡¼ö À¯½ÂÁØ(48¡¤¹Ì±¹ À̸§ ½ºÆ¼ºê ½ÂÁØ À¯)¾¾ÀÇ ºñÀÚ ¹ß±ÞÀ» µÑ·¯½Ñ ¼¼ ¹øÂ°...
±×·ì ¹æÅº¼Ò³â´Ü(BTS) ¸â¹ö Àü¿øÀÇ ±º º¹¹« Á¾·á¿Í Àç°áÇÕ¿¡ ¿Ü...
ȸ»ñµ· 43¾ï¿øÀ» Ⱦ·ÉÇÑ ÇøÀÇ·Î ±â¼ÒµÈ ¹è¿ì ȲÁ¤À½ÀÌ Àç»êÀ» óºÐÇØ ...
°æÂûÀÌ ½ÅûÇÑ ¹æ½ÃÇõ ÇÏÀ̺ê ÀÇÀåÀÇ ÀÚº»½ÃÀå¹ý À§¹Ý ÇøÀÇ¿Í °ü·ÃÇÑ ...
»óÈ£: ¿µ³²¸ÅÀϽŹ®(ÁÖ) | »ç¾÷ÀÚµî·Ï¹øÈ£: 506-81-85807 | ´ëÇ¥: °È£¼º | ½Å¹®µî·Ï¹øÈ£ : ºÎ»ê °¡00021 / ÀÎÅͳݽŹ®µî·Ï¹øÈ£ : ºÎ»ê, ¾Æ00272
ÀüÈ: 051-867-3909 | ÆÑ½º: 051-861-3463 | ÁÖ¼Ò: ºÎ»ê±¤¿ª½Ã ¿¬Á¦±¸ Áß¾Ó´ë·Î 1111, 1701È£ (¿¬»êµ¿, À§µåŸ¿ö)
copyright ¨Ï 2015 newsyn.co.kr All right reserved. | web@newsyn.co.kr