Áñ°Üã±âÃß°¡2026.03.03 ±â»óûGO

'AI °øÆ÷' 3´ëÁö¼ö¡é...¿©ÇࡤºÎµ¿»ê ¾÷Á¾ Ÿ°Ý
1. Áõ½Ã Áß¿ä ´º½º1) ´º¿åÁõ½Ã, AI À§Çù¾÷Á¾ Åõ¸Å Áö¼Ó¿¡ Ç϶ô¡¦³ª½º´Ú 2%¡é- AI µµ±¸°¡ Àü¹® ±â¾÷¿ë ¼ÒÇÁÆ®¿þ¾î(SW...

"Á¶Á¤Àº ±âȸ´Ù"¡¦°ø°ÝÀû º£ÆÃ ³ª¼± ¼Çа³¹Ì
¹Ì±¹ Áõ½Ã°¡ ¿¬ÃÊ Á¶Á¤ È帧À» º¸ÀÌÀÚ ¼Çа³¹ÌµéÀÌ Àú°¡ ¸Å¼ö ±âȸ·Î ÆÇ´ÜÇÏ°í °ø°ÝÀûÀÎ º£ÆÃ¿¡ ³ª¼°í ÀÖ´Ù. ÀΰøÁö´É(A...

15¸¸ ÀüÀÚ °£´Ù? Á¨½¼È² ¡°ÆÄÆ®³Ê¡± Á¡ÂïÀº »ï¼º ¸ñÇ¥ÁÖ°¡¡è
¿øº»º¸±âÁ¨½¼ Ȳ ¿£ºñµð¾Æ ÃÖ°í°æ¿µÀÚ(CEO)¿Í ÀÌÀç¿ë »ï¼ºÀüÀÚ È¸ÀåÀÌ Áö³ 30ÀÏ ¼¿ï °³²±¸ ÄÚ¿¢½º¿¡¼ ¿¸° ¿£ºñµð¾Æ ...

¡°Ä¡Å² ÇÑ ¸¶¸® °ªÀ¸·Î ¡®300¾ï¡¯ ¹ú¾ú´Ù°í¿ä?¡±
¡°Ä¡¸Æ ÇÑ ÀÜ¿¡ 300¾ïÂ¥¸® ±¤°í¡±¡¦¿£ºñµð¾Æ Á¨½¼ ȲÀÇ ¡®±ñºÎ ȸµ¿¡¯, K-ºê·£µå°¡ ¿ô¾ú´ÙġŲ¡¤¼Ò¸Æ¡¤È«»ï±îÁö ¼¼°è CEOµéÀÇ ÇÑ...

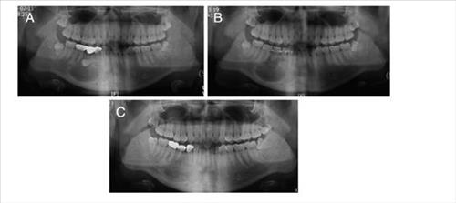
ÀÕ¸ö»À ¾ø´Â ȯÀÚ¿¡°Ô ÀÚ°¡Ä¡¾Æ ÀÌ½Ä ¼º°ø
°³²¼¼ºê¶õ½ºº´¿ø ÀÇ·áÁø, ¼ö¼ú °á°ú Àú¸í ÇмúÁö¿¡ (¼¿ï) Àü¸íÈÆ ±âÀÚ = ±¹³» ÀÇ·áÁøÀÌ Ä¡¾ÆÀÇ ¸Åº¹ »óÅ ¶§¹®¿¡ ÀÕ¸ö»À°¡ °ÅÀÇ ¾ø¾î Ä¡¾Æ À̽ÄÀÌ ¾î·Æ´ø ȯÀÚ¿¡°Ô ÀÚ°¡ Ä¡¾Æ¸¦ À̽ÄÇÏ´Â ¼ö¼ú¿¡ ¼º°øÇß´Ù. ÀÌ...
IT/°úÇÐ | 08-20 14:28

°¶³ëÆ®5¡¤°¶S6¿§Áö+ Ãâ½Ã¡¦»ï¼ºÆäÀ̵µ 'µ¿¹Ý Ãâ°Ý'(Á¾ÇÕ2º¸)
5.7ÀÎÄ¡ ´ëȸ鿡 ÃÖ÷´Ü ±â´É¡¦Ãâ°í°¡ 89¸¸9õ¿ø¡¤93¸¸9õ¿ø»ï¼ºÆäÀ̵µ À̳¯ºÎÅÍ ±¹³» »ó¿ë...
IT/°úÇÐ | 08-20 14:24

±Ý°¨¿ø, 90Á¶ ELS °ü·Ã »óǰ ÇÕµ¿°Ë»ç ³ª¼±´Ù
Áõ±Ç¡¤ÀºÇࡤº¸Çè '¾÷±Ç ŸÆÄ' °Ë»ç¹Ý ÅõÀÔ¡¦"¼±Á¦Àû ÅõÀÚÀÚ º¸È£" (¼¿ï) ±è¼öÁø ±âÀÚ = ±ÝÀ¶´ç±¹ÀÌ ÀºÇࡤÁõ±Ç¡¤º¸Çè ÇÕµ¿°Ë»ç¹ÝÀ» ²Ù·Á ÁÖ°¡¿¬°èÁõ±Ç(ELS) °ü·Ã »óǰ ¹× ÆÝµå ÆÇ¸Å ½ÇŸ¦ ÁýÁß Á¡°ËÇÑ´Ù....
Áõ±Ç/±ÝÀ¶ | 08-20 14:23

ùÛñéìí Áõ½Ã Ç϶ô¡¦"Áß±¹ °æ±â ºÒ¾È°¨ ¿©Àü"
(AP=¿¬ÇÕ´º½º ÀÚ·á»çÁø) (¼¿ï) ±è³²±Ç ±âÀÚ = ¾Æ½Ã¾Æ ÁÖ¿ä±¹ Áõ½Ã°¡ 20ÀÏ Ç϶ô È帧À» º¸À̰í ÀÖ´Ù. ÃÖ±Ù º¯µ¿¼ºÀÌ Å« Àå¼¼¸¦ º¸ÀÎ Áß±¹ ÁֽĽÃÀåÀº 1% ³Ñ°Ô ¶³¾îÁö¸ç Ãâ¹ßÇß´Ù. À̳¯ Áß±¹ »óÇÏÀÌÁ¾ÇÕÁö...
Áõ±Ç/±ÝÀ¶ | 08-20 14:21

"ÀÌÀÚ ±ð¾ÆÁà¿ä" ±Ý¸®ÀÎÇÏ ¿ä±¸±Ç Ȱ¼ºÈ ÃßÁø
±Ý°¨¿ø, º¸Ç衤ÀúÃàÀºÇà µî ¹ÌÀû¿ë ±ÝÀ¶»ç Áöµµ °ÈŰ·Î (¼¿ï) ¹Ú¿ëÁÖ ±âÀÚ = À̸£¸é ¿Ã 10¿ùºÎÅÍ º¸Çè»ç³ª ÀúÃàÀºÇà µî 2±ÝÀ¶±Ç¿¡¼µµ ±Ý¸®ÀÎÇÏ ¿ä±¸±ÇÀ» Æø³Ð°Ô Çà»çÇÒ ¼ö ÀÖ°Ô µÈ´Ù. ¿©½Å°Å·¡ ±âº»¾à...
Áõ±Ç/±ÝÀ¶ | 08-20 14:16

2ºÐ±â ÀÏÆò±Õ ¿Üȯ°Å·¡ 497¾ï ´Þ·¯¡¦±Ù 7³â ¸¸¿¡ ÃÖ´ë
¿ø/À§¾ÈÈ Á÷°Å·¡½ÃÀå °³¼³ ¿µÇâ (¼¿ï) ±èÁöÈÆ ±âÀÚ = ¿ø/À§¾ÈÈ Á÷°Å·¡½ÃÀå °³¼³ÀÇ ¿µÇâÀ¸·Î ¿Üȯ°Å·¡ ±Ô¸ð°¡ ±Ù 7³â ¸¸¿¡ ÃÖ´ë ¼öÁØÀ¸·Î ´Ã¾ú´Ù. 20ÀÏ Çѱ¹ÀºÇàÀÌ ¹ßÇ¥ÇÑ ÀÚ·á¿¡ µû¸£¸é ¿Ã 2ºÐ±â ¿Ü±¹...
Áõ±Ç/±ÝÀ¶ | 08-20 14:14

»êÈĵµ¿ì¹Ì Áö¿ø´ë»ó 2¹è·Î È®´ë¡¦Á¶¸®¿øµµ Áö¿ø °ËÅä
(¿¬ÇÕ´º½º ÀÚ·á»çÁø) Á¤ºÎ, ÀúÃâ»ê¡¤°í·ÉÈ ´ëÃ¥ À̸£¸é 9¿ù ¹ßÇ¥ (¼¼Á¾) ±èµ¿È£ ±âÀÚ = Á¤ºÎ°¡ Áö¿øÇÏ´Â ÀçÅà »êÈÄÁ¶¸® ¼ºñ½ºÀÎ '»ê¸ð¡¤½Å»ý¾Æ µµ¿ì¹Ì' »ç¾÷ÀÇ ¼öÇý ´ë»óÀÌ µÎ¹è·Î È®´ëµÈ´Ù. ¹Î°£ »êÈÄ...
À¯Åë/¼ÒºñÀÚ | 08-20 14:12

ÃÖÅ¿ø '¹«¼¿î ÇöÀå °æ¿µ'¡¦"»ç¾÷Àå ´Ù µ·´Ù"(Á¾ÇÕ)
ÀÌ´Þ±îÁö ±¹³» »ç¾÷Àå ¹æ¹®¡¦³»´Þ ÇØ¿Ü ÃâÀå À¯·Â (¼¿ï) ½ÉÀçÈÆ ±âÀÚ = Áö³ 14ÀÏ Ãâ¼ÒÇÑ ÃÖÅ¿ø SK±×·ì ȸÀåÀÌ ÇÏ·çµµ ½¬Áö ¾Ê°í ¸ÅÀÏ »ç¾÷ÀåÀ» ã´Â ÇöÀå °æ¿µÀ¸·Î °Ç౺Çϰí ÀÖ´Ù. À̹ø ÁÖ¿¡¸¸ °æ±âµµ ÀÌ...
±â¾÷/»ê¾÷ | 08-20 14:09

À̸ÍÈñ Àü ȸÀå, ¿µ°á½Ä ¸¶Ä¡°í ÀåÁö·Î
(¼¿ï) ½ÅÈ£°æ ÀÌÀ¯¹Ì ±âÀÚ = »ï¼º±×·ì À̺´Ã¶ â¾÷ÁÖÀÇ Àå³² °í(ͺ) À̸ÍÈñ Àü Á¦ÀϺñ·á ȸÀåÀÇ ¿µ°á½ÄÀÌ 20ÀÏ ¾ö¼öµÆ´Ù. ¿µ°á½ÄÀº À̳¯ ¿ÀÀü 8½Ã ¼¿ï Áß±¸ Çʵ¿ CJÀÎÀç¿ø¿¡¼ Â÷³² ÀÌÀçȯ Àç»êÄ¿¹Â´ÏÄÉÀ̼ÇÁî...
±â¾÷/»ê¾÷ | 08-20 14:05

µÎ»ê±×·ì Àü °è¿»ç ³»³âºÎÅÍ ÀÓ±ÝÇÇÅ©Á¦ ½Ç½Ã
ÁÖ¿ä±×·ì Áß °¡Àå »¡¶ó¡¦Á¤³â ¿¬Àåµµ ¸¶¹«¸® (¼¿ï) ½ÉÀçÈÆ ±âÀÚ = µÎ»ê±×·ìÀÌ ±¹³» ÁÖ¿ä±×·ì Áß¿¡¼´Â °¡Àå »¡¸® ¸ðµç °è¿»ç¿¡ ´ëÇÑ ÀÓ±ÝÇÇÅ©Á¦ µµÀÔÀ» ¸¶¹«¸®Çß´Ù. Áß°ø¾÷ µî Á¦Á¶¾÷ À§ÁÖ·Î ³ëÁ¶ÀÇ ÀÔ±èÀÎ ...
±â¾÷/»ê¾÷ | 08-20 14:01
¹ÚÁø¿µ JYP¿£ÅÍÅ×ÀÎ¸ÕÆ® ´ëÇ¥ ÇÁ·Îµà¼°¡ 9ÀÏ ´ëÅë·É Á÷¼Ó ´ëÁß¹®È±³·ù...
°¡¼ö À¯½ÂÁØ(48¡¤¹Ì±¹ À̸§ ½ºÆ¼ºê ½ÂÁØ À¯)¾¾ÀÇ ºñÀÚ ¹ß±ÞÀ» µÑ·¯½Ñ ¼¼ ¹øÂ°...
±×·ì ¹æÅº¼Ò³â´Ü(BTS) ¸â¹ö Àü¿øÀÇ ±º º¹¹« Á¾·á¿Í Àç°áÇÕ¿¡ ¿Ü...
ȸ»ñµ· 43¾ï¿øÀ» Ⱦ·ÉÇÑ ÇøÀÇ·Î ±â¼ÒµÈ ¹è¿ì ȲÁ¤À½ÀÌ Àç»êÀ» óºÐÇØ ...
°æÂûÀÌ ½ÅûÇÑ ¹æ½ÃÇõ ÇÏÀ̺ê ÀÇÀåÀÇ ÀÚº»½ÃÀå¹ý À§¹Ý ÇøÀÇ¿Í °ü·ÃÇÑ ...
»óÈ£: ¿µ³²¸ÅÀϽŹ®(ÁÖ) | »ç¾÷ÀÚµî·Ï¹øÈ£: 506-81-85807 | ´ëÇ¥: °È£¼º | ½Å¹®µî·Ï¹øÈ£ : ºÎ»ê °¡00021 / ÀÎÅͳݽŹ®µî·Ï¹øÈ£ : ºÎ»ê, ¾Æ00272
ÀüÈ: 051-867-3909 | ÆÑ½º: 051-861-3463 | ÁÖ¼Ò: ºÎ»ê±¤¿ª½Ã ¿¬Á¦±¸ Áß¾Ó´ë·Î 1111, 1701È£ (¿¬»êµ¿, À§µåŸ¿ö)
copyright ¨Ï 2015 newsyn.co.kr All right reserved. | web@newsyn.co.kr